Dr.sci. Naim Shabani, Gjinekolog-onkolog, Patolog-citolog

Nëse keni një shqetësim apo problem për të cilin mendoni se mund t’ju ndihmojnë këshillat e një profesionisti mund të na shkruani pa hezitim në adresën mjeku@telegrafi.com
Për shumë pyetje, ne do të bashkëbisedojmë me mjekët dhe përgjigjet e tyre do t’i botojmë në ditët vijuese. Dr. sci. Naim Shabani
Gjinekolog-onkolog
Patolog-citolog
tel: 044 677-333
Përshëndetje z. Shabani! Jam 45 vjeçare. Nuk kam pasur fare lindje. Prej muajit shtator kam menstruacione me gjakderdhje të mëdha, kohë pas kohe. Jam anemike, kjo po më dobëson edhe më shumë.
Pas vizitës te gjinekologu, kam përdorë tableta për normalizim, por pa efekt. Tani më ka caktuar injeksionet Oestrudiol, por në mungesë të tyre, kam përdorë tre ditë pika Ergtyl. Nuk më janë ndalë tërësisht menstruacionet, por nuk ishin në masë të madhe. Rezultati i PAP testit:
- Qelizat endrocervikale janë prezente, por negative për lezion intraepithelial ose malinjitet
- Celulariteti skuamoz është prezent -pa ndryshime evidente
- Nuk janë gjetur mikroorganizma specifik, por në sekretin vaginal vërehen infiltrate leukocitare. Ju lutem, më ndihmoni si të veproj dhe a ka të bëjë me ndonjë sëmundje serioze.
Ju faleminderit.PËRGJIGJE: Përshëndetje. Çrregullimet e ciklit menstrual të shoqëruara me gjakderdhje të vazhdueshme (metroragji), si në rastin tuaj, janë pasojë e ndryshimeve hormonale ose organike në vet mitrën. Shkaqet më të shpeshta janë miomët e mitrës, pastaj rritja në përgjithësi e mitrës (Myohyperplasia) si dhe çrregullimet hormonale të vezoreve. Nga pyetja juaj, nuk mund të mësojmë saktësisht se për çka bëhet fjalë tek ju. Tentimi për të normalizuar gjendjen, pra për të ndalë gjakderdhjen e cila shpesh çon në anemi, me terapi hormonale mund të jap efekt të kundërt- çrregullim edhe më të theksuar të ciklit menstrual.
Përpos përpjekjes me terapi hormonale, varësisht nga shkaku, mund të përdoren edhe këto forma terapeutike: heqja komplete e mukozës së mitrës (Abllacioni i endometriumit), largimi i miomëve (enukleacioni i miomëve) me ruajtje të mitrës si dhe heqja e mitrës (e pjesshme- heqje e trupit të mitrës ose komplete). Në të gjitha këto raste, femra nuk do të ketë më menstruacione (gjakderdhje), kurse cikli menstrual vazhdon, pra vezoret prodhojnë edhe më tutje hormone të cilat do të ndikonin në paraqitjen e gjakderdhjeve menstruale, por mungon organi ekzekutiv- mitra.
Pas disa javësh, zhduket anemia. Ne kemi trajtuar shumë raste të ngjashme si rasti juaj. Disa nga këto raste vijnë me një anemi të theksuar si pasojë e gjakderdhjeve disamujore dhe terapisë joadequate. Përkundër terapisë me preparate të hekurit si dhe dhënies së gjakut, nëse nuk mjekohet shkaku i gjakderdhjeve, por vetëm pasojat, ne kemi humbur hapin me problemin dhe përsëri do të kemi të njëjtën gjendje: gjakderdhje vaginale dhe anemi, gjë që dukshëm çrregullon aktivitetin e përditshëm të femrës duke përfshirë edhe jetën seksuale.
I nderuar. A mund të ndodhë që e virgjëra të mbetet shtatzënë? PËRGJIGJE: Përshëndetje. Shumë të rinj dhe të reja nuk janë të njoftuar që edhe nëse femra është virgjine në rast të ardhjes në kontakt me spermën në regjionin e organeve gjenitale të jashtme, mund të mbesin shtatzënë. Kjo zakonisht mund të ndodhë gjatë paralojës seksuale ose ajo që praktikohet më së shumti te të rinjtë në pubertet i quajtur "Petting". Me këtë rast, gjatë përkëdheljeve në regjionin e organeve seksuale, mjafton që ndonjë qelizë seksuale mashkullore (spermatozoid) të kalojë cipën e virgjërisë (himenin), e cila ka një vrimë në mes (për të dalë gjakderdhja menstruale) që femra të mbetet shtatzënë. Andaj, kujdes gjatë pettingut. Edhe para ejakulimit të mashkullit, sekreti fillestar përmban spermatozoide. Mjafton që dora e ndonjërit partner të jetë në kontakt me këtë sekret e që pastaj të bartet në regjionin e vulvës dhe kështu të vjen deri te shtatzënia e padëshiruar, përkundër faktit që femra është virgjine.
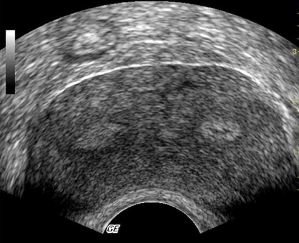
Përshëndetje! Jam 28 vjeçe, e pa martuar. Nga ekzaminime të rregullta ekografike, rezultoj me uterus supsepta, madhësi dhe strukturë normale. Kaviteti linear me endometër 7 mm. Ovaretpolikistike.
Duke qenë se uterusi është me të lindur, a do të më rrezikojë shtatzëninë normale në të ardhmen?
Ju faleminderit!PËRGJIGJE: Zhvillimi jonormal i mitrës (anomalitë) I hasim në 0,1-3,2 % të femrave. Anomalia më e shpeshtë e mitrës është uterus septusose uterus subseptus (kur mitra është e ndarë më një mur plotësisht ose pjesërisht). Kjo anomali është edhe shkaku kryesor i aborteve.
Diagnoza caktohet përmes ultrazërit ku kemi figurën e njohurs i “Sytë e hutit”:
Më poshtë keni pamje nga operimi i septumit të mitrës në Klinikën Gjinekologjike Gjermane në Prishtinë:
I nderuar. Jam 46 vjeçare, qe një vit, kam pasur dhimbje në barkë, shpinë. Para 5 muajve, jam vizituar te një doktoreshë. Ajo, pas një kontrolli, me sugjeroi ta bëjë papa testin. Rezultati është ky në vijim: Analizë mikrobiologhike
Lloji i mostrës: strisho vaginale; Rezultati: 1.Streptococcus agalactiae (gr B); Preparati mikroskopik: Le PMn>10, qel ep, koke gr + dhe lactobacile te rralluara.
Papatesti:
Trihonomas Neg; Candida Neg;
Dg.Klinike: Cervicitis chr. Colpitis
Papanicolaou i modifikuar
I-Qeliza normale, II- Ndryshime beninje, III- Qeliza susp (jo karakteristike), IIIa-Displasia levis, IIIb- Displasia media et grabis, IV- Carcinoma in Situ, V- Carcinoma invasium.
Komenti: Qeliza proliferative inflamatore siperfaqesore, intermediare te shpërndara, endocervikale metaplastike, mukus, detritus qelizor, eritrocite, bakterie, mase e granulociteve dhe monociteve. I nderuar, nga kjo kontroll, doktoresha më tha se kam mish të egër në mitër. Më dha disa barna, ne fillim, filluan te mi lehtësonin dhimbjet, por prapë filluan dhimbjet janë të njëjta.
Të lutem, më trego se për çfarë bëhet fjalë dhe si duhet të veproj?
Ju faleminderit.PËRGJIGJE:
Përshëndetje zonjë. Te ju janë bërë dy lloj analizash: Strishoja citologjike nga qafa e mitrës (Pap testi) dhe strishoja bakteriologjike nga vagina.
Qëllimi i strishos citologjike (PAP testit) është të zbulojë ndryshimet prekanceroze dhe në këtë mënyrë të parandalojë zhvillimin e kancerit të qafës së mitrës.
Rezultati I PAP testit te ju është në vlera normale.
Me anë të strishos bakteriale mund të detektohen bakteret patogjene të cilat shkaktojnë inflamacion të organeve gjenitale femërore.
Te ju është konstatuar Streptococcus agalactiae (gr B) i cili ka rëndësi të mjekohet sidomos në shtatzëni, sepse mund të dëmtojë frutin gjatë lindjes. Jashtë shtatzënisë mund të mjekohet me antibiotikë, por edhe mund të paraqiten sërish. Nëse femra nuk ka ankesa (kruarje, sekret vaginal me erë), nuk ka nevojë për ndonjë terapi.
Në pyetjen tuaj ju sqaroni se te ju është diagnostikuar edhe “mish i egër”. Bëhet fjalë sigurisht për mioma të mitrës. Miomat janë tumore beninje që varësisht nga madhësia dhe pozita ku ndodhen në mitër, mund të shkaktojnë probleme siç janë edhe dhimbjet e barkut.
Ju kisha preferuar që të paraqiteni për kontroll për të konstatuar se a ka nevojë për heqje të miomëve apo nëse janë shumë të mëdha dhe disa sosh ndoshta dhje për heqjen e tërë mitrës.
Shumë i nderuar Dr.Shabani. Jam 35 vjeçe, nënë e dy fëmijëve. Para 8 vjetësh në një vizitë echografike, u konstatuan kokrra (fibroadenome dhe Zyste) në 2 gjokset. Përmasat kanë qenë deri në 1,5cm.
Ditët e fundit bëra një ecografi dhe radiologu më tha që në gjirin e majtë në kuadrantin lateral, superior në drejtim të orës 3 vihen re 2 formacione hypokogene. I pari me dimension 11mmx6, 6mm dhe inferiorisht. Formacioni tjetër me përmasa 10mmx8mm me konture ondulante policiklike.
Të dy formacionet së bashku kanë shtrirje 2cm x 0,75cm. Në drejtim të orës 13:00 dhe në drejtim të orës 11:00 vihen re 2 lezione indentikme ecogenicitet, të ngjashëm adipoze
në qendër dhe periferi hypoekogen me përmasa 7,7mm x 5,7mm dhe 6,3 mm x 4,2 mm.
Në gjirin e djathtë në kuadrantin lateral - inferior në drejtim të orës 9:00, vihet re lezion hiperecogen me konture të rregullt me karakteristika për fibroadenomë me dimensione
15mm x 7 mm.
Muskujt pektorale bilaterale me konture dhe ekogjenitek normal. Nuk evidentohen infonodual me natyrë dhe përmasa patologjike në fosstat aksillare.
Indi kuatan dhe subkutan i të dy gjokseve me ekogjenitet dhe kalibracin normal. Ju lutem më këshilloni si të veproj dhe a duhet të shqetësohem për këtë problem? Ju falënderoj nga zemra.PËRGJIGJE: Përshëndetje. Fibrodaenoma është tumori më i shpeshtë beninj te femrat e reja. Varësisht nga fakti se a rritet shpejtë apo qëndron stabil, mund të largohet me operacion ose mund të përcillet me ultrazë. Te ju njëkohësisht janë diagnostikuar edhe formacione cistike që janë pjesë e proceseve degjenerative të gjirit me kalimin e kohës te femrat. Këto ndryshime përfshihen bashkërisht me emrin mastopati fibroze cistike.
Ju nuk duhet të shqetësoheni për këto ndryshime. Me rëndësi është që kontrollimi me ultrazë i gjinjve të bëhet rregullisht, së paku një herë në 6 muaj.
Përshëndetje. Ka 3 vite që jam në lidhje me një djalë dhe sa herë që kemi provuar të kemi marrëdhënie, nuk kemi mundur për shkak se kam tepër dhimbje. I dashuri im, fut vetëm kokën e penisit dhe jo më shumë, sepse nuk mund ta duroj dhimbjen.
Çfarë mund të jetë problemi? Fillimisht, faleminderit për mirëkuptim.PËRGJIGJE: Përshëndetje. Te ju si duket cipa e virgjërisë (himeni) është më e trashë se zakonisht. Në këto raste, përkundër tentimit të marrëdhënieve seksuale, nuk vjen deri te deflorimi (pëlcitja e cipës), andaj edhe penetrimi (futja e penisit) nuk është i mundur. Ju preferoj që megjithatë të merrni guxim dhe të vini për kontroll. Në praktikën time kam patur disa raste të tilla e që kanë përfunduar (janë mjekuar) me sukses. Këtu po ceku rastin e një çifti të martuar tash e një vit, por që asnjëherë nuk kanë arritur të kenë marrëdhënie seksuale. Pas diagnostikimit dhe intervenimit të vogël operativ, çdo gjë ka funksionuar për mrekulli. Andaj nuk shoh ndonjë arsye për frikë ose turpërimin tuaj (por edhe të ndonjë lexueseje tjetër që ka të njëjtin problem), sepse kjo është një anomali e lindur që mund të korrigjohet pa problem. Më tepër në lidhje me himenin, lexoni artikullin në telegraf, në rubrikën këshilla mjekësore: "Himeni dhe Virgjiniteti".
Me respekt, Dr.Naim Shabani.
Tek mami im, e cila ka 59 vjet, është konstatuar cist ja e vezores së majtë me diametër 10 cm. Në ultrazë është përshkruar kështu:“ ciste me mure të trasha dhe formacione solide. Në bark është vërejt lëng i lirë“. Tumor markeri Ca 125 është i rritur (mbi 1000). Gjinekologu ynë na ka preferuar mjekim të mëtejmë jashtë vendit, meqenëse dyshon në kancer të vezores. A mund të na ndihmoni, sepse jemi shumë të shqetësuar dhe nuk po dimë çka të bëjmë më tutje.PËRGJIGJE: Cistet e vezoreve varësisht nga madhësia dhe struktura e tyre, mund të jenë ciste funksionale (beninje), por mund të jenë edhe malinje (kancer). Te rasti i juaj konkret, sigurisht dyshimi që kemi të bëjmë me kancer të vezores, në bazë të ultrazërit dhe rritjes së tumormarkerit Ca 125, është i lartë. Për të kompletuar diagnostikimin e kancerit të vezores, gjegjësisht për të hequr dyshimin, duhet të bëhet edhe tomografia e kompjuterizuar dhe, çka është vendimtare, duhet të bëhet Laparoskopia (të shikohet brendia e abdomenit dhe të merret biopsia). Vetën histopatologjia mund të jep diagnozën definitive që një formacion cistik (si në rastin tuaj) është apo nuk është kancer i vezores. Nëse vërtete kemi të bëjmë më kancer të vezores, atëherë duhet të bëhet operim me heqje komplete të tumorit, mitrës, vezoreve, nyjave limfatike pelvine dhe paraortale si dhe heqje të rrjetës dhjamore (omentum). Me një fjalë, duhet të bëhet heqje e tërësishme e tumorit (tumordebulking) që konsiderohet operacion i madh- radikal në gjinekologji. Vetëm pas operimit komplet, pason terapia plotësuese me substanca kemoterapeutike.
I gjithë ky operim i përshkruar më lartë, kryhet me sukses edhe tek ne në Prishtinë.
I nderuar doktor. Kam mbushur një dhëmbë me anestezion dhe, katër ditë para kohës që të më vijnë menstruacionet, kam bërë një rëntgen të dhëmbit duke menduar se nuk jam shtatzënë. Megjithatë, menstruacionet u vonuan, tashti jam shtatzënë dhe ja e shqetësuar nëse rëntgeni ndikon tek bebja. Pres me padurim përgjigjen tuaj.PËRGJIGJE: Përshëndetje. Ekzaminimit me rëntgen (diagnostikimi) si dhe punës në institucionet ku përdoren mjete rrezatuese, femrat shtatzënë duhet, medoemos t’u shmangen. Në tremujorin e parë të shtatzënisë, ekzaminimi me rëntgen mund të përdoret vetëm nëse kemi indikacion të domosdoshëm. Në rastin tuaj, incizimi me rëntgen i dhëmbit, nuk paraqet ndonjë rrezik për frutin, sepse zona ku jeni rrezatuar është shumë larg mitrës si dhe doza e rrezatimit është shumë e ulët.
Ju këshilloj që të mos shqetësoheni dhe të vazhdoni me kontrollimet rutinore te gjinekologu juaj.
Përshëndetje doktor. Gruaja ime është 37 vjeçe dhe është diagnostikuar me disa mioma në pjesën e jashtme të mitrës: foll dextra 16 mm, endometri 6 mm, myome antero laterale dextra 41/41 mm, myome posteriore intersticiale 17 mm, myome posteriore intersticiale 19 mm.
Ne nuk kemi fëmijë ende, ndërsa problemi qëndron tek miomat. Nga doktori në Shqipëri jemi këshilluar që miomat mund ta ndërpresin shtatzëninë, dhe kjo mund të ndodhë në muajin e katërt apo të pestë...
Në fakt nuk na ka këshilluar që të bëhet ndërhyrje kirurgjikale paraprakisht.
Tashmë u konsultuam dhe në një klinikë të specializuar dhe edhe ata nuk këshilluan operacionin, por kur vendosëm që operacioni të bëhet, ata na pyeten se a jemi të sigurt...Në fakt, ne nuk pyetem më tepër, por ngelem pak të shqetësuar.
Nga parametrat që të tregova, a është e mundur që të jetë shtatzëni e suksesshme, apo patjetër duhen hequr miomat, ngaqë nusja për shkak të tyre bëhet anemike në kohën e ciklit. Pastaj me ushqim të shëndetshëm rikuperon, por nuk e dimë se çfarë të bëjmë.
Jemi në dilemë, prandaj kërkova informacion në internet dhe shikoj që me këshillat tuaja të vyera, keni ndihmuar shumë të tjerë.
Me dashamirësi ju drejtohem juve për këtë problem. Me respekt A.PËRGJIGJE: Përshëndetje. Te bashkëshortja juaj, janë konstatuar së paku 3 miome të mitrës. Varësisht se në cilën pjesë të mitrës, janë të lokalizuara. Ato mund të shkaktojnë probleme të ndryshme prej gjakderdhjeve të theksuara gjatë menstruacioneve të përcjella me anemi (siç është rasti te ju) deri te abortet.
Unë ju preferoj që të operohen, pra të largohen miomet duke e ruajtur mitrën. Ideale është që të mos hapet kaviteti (zgavra e mitrës) gjatë operimit.
Përshëndetje doktor Shabani. Jam 23 vjeçe. Një javë para se të me vijnë menstruacionet, më dhëmbin shumë gjinjtë, më fryhen dhe më bëhen gurë. Ndërsa ditën e parë, më dhemb shumë fundi i barkut, nuk guxoj që të ha, e as të pi asgjë. Gjithashtu kam shumë të vjella, temperaturë dhe ethe.
Në ditën e dytë dhe të tretë më dhëmb barku, por jo si ditën e parë, nuk kam te vjella, temperaturë, as ethe.
Menstruacionet më vijnë me rregull dhe më zgjasin 5 ditë.
Kam qenë te gjinekologu, më ka thënë që të përdori suposte Diklofenak, por kur po i përdori, po më ndalen krejt menstruacinet.
Nuk jam e martuar, jam ende e virgjër.
Të lutem më ndihmo, më jep një këshill se çfarë të bëj?
Ju faleminderit.PËRGJIGJE: Përshëndetje. Në bazë të simptomave që ju përshkruani, bëhet fjalë për Sindromin premenstrual (PMS). Kjo gjendje haset te një numër i madh femrash dhe shkalla e ankesave është shumë variable prej simptomave të lehta deri te gjendjet ku femra nuk mund të kryej aktivitetet e përditshme në ditët para menstruacioneve. Shkaqet e këtij sindromi nuk janë sqaruar plotësisht. Mendohet se çrregullimet hormonale kane një ndikim të madh. Stresi, ushqimi joadekuat, mosaktiviteti fizik ndikojnë në theksimin e simptomave.
Si terapi për këto çrregullime preferohen ushtrimet trupore, ushqyeshmëria adekuate si dhe eventualisht terapia medikamentoze (kontraceptivët oral). Antiflogjistikët siç është Diklofenak, është terapi e mirë simptomatike.
Jam 40 vjeçare, e pamartuar. Kam bërë mamografinë dhe jam diagnostikuar me BI-RADS-2. Më kanë dalë ndryshime fibrocistike në formë ovale rreth 4-5mm dhe 3 kalcifikate me natyrë benninje (më i madhi 2.2mm suspect për fibradenomë). Po ashtu, vërehen shenja limphadenopathy axillare, diametër 16mm dhe vërehen nyje limfatike me diametër 15mm.
Dhimbje nuk kam vetëm nganjëherë rrallë nën krahë dhe, në gji dhimbje shumë të lehta.
Desha të nëse jam e rrezikuar më shumë me kalimin e viteve nga kanceri i gjirit?
Nëse hiqet fibradenoma, rritet rreziku për kancer?
Kjo diagnozë, a mund të bartet tek ndonjë organ tjetër?
A eliminohen vetvetiu këto shenjat limfadenopatike dhe nyje limfatike, apo vetëm me operacion?
Pse është shkruar suspect fibradenoma, kur është bërë mamografia nuk është vërejtur mirë, apo vërtet nuk është fibradenomë?
Kalcifikatet a mund të largohen vetvetiu apo dhe ato me operacion?
Jam shumë mirënjohëse dhe ju falënderoj nga zemra.
PËRGJIGJE: Përshëndetje. Te ju, me anë të mamografisë janë konstatuar disa patologji të natyrës beninje siç janë masthopathia fibrose cystike, kalcifikimet beninje dhe fibroadenome. Në plan të parë, këtu janë tumoret beninje fibroadenomat. Te ju nuk munda të kuptoj saktë se çfarë dimensioni ka fibroadenoma. Sa i përket këtij tumori, duhet theksuar se është tumori më i shpeshtë beninj (i natyrës “së mirë”) te femrat e reja. Në aspektin histopatologjik kemi të bëjmë me proliferim të indit lidhor dhe atij gjëndëror të gjirit. Përpos dëmit që shkakton me rritje ekspansive (shtynë indin normal përreth) nuk paraqet ndonjë rrezik siç është tendenca për malinjizim (pra, nuk shndërrohet në kancer). Duhet të përcillet me ultrazë se a po rritet apo jo. Nëse me ultrazë dhe mamografi nuk jemi të sigurt në diagnozën fibroadenome, duhet të bëhet biopsia (core biopsia) e këtij tumori.
Jam 40 vjeçare, e pamartuar. Kam bërë mamografinë dhe jam diagnostikuar me BI-RADS-2. Më kanë dalë ndryshime fibrocistike në formë ovale rreth 4-5mm dhe 3 kalcifikate me natyrë benninje (më i madhi 2.2mm suspect për fibradenomë). Po ashtu, vërehen shenja limphadenopathy axillare, diametër 16mm dhe vërehen nyje limfatike me diametër 15mm.
Dhimbje nuk kam vetëm nganjëherë rrallë nën krahë dhe, në gji dhimbje shumë të lehta.
Desha të nëse jam e rrezikuar më shumë me kalimin e viteve nga kanceri i gjirit?
Nëse hiqet fibradenoma, rritet rreziku për kancer?
Kjo diagnozë, a mund të bartet tek ndonjë organ tjetër?
A eliminohen vetvetiu këto shenjat limfadenopatike dhe nyje limfatike, apo vetëm me operacion?
Pse është shkruar suspect fibradenoma, kur është bërë mamografia nuk është vërejtur mirë, apo vërtet nuk është fibradenomë?
Kalcifikatet a mund të largohen vetvetiu apo dhe ato me operacion?
Jam shumë mirënjohëse dhe ju falënderoj nga zemra.
PËRGJIGJE: Përshëndetje. Te ju, me anë të mamografisë janë konstatuar disa patologji të natyrës beninje siç janë masthopathia fibrose cystike, kalcifikimet beninje dhe fibroadenome. Në plan të parë, këtu janë tumoret beninje fibroadenomat. Te ju nuk munda të kuptoj saktë se çfarë dimensioni ka fibroadenoma. Sa i përket këtij tumori, duhet theksuar se është tumori më i shpeshtë beninj (i natyrës “së mirë”) te femrat e reja. Në aspektin histopatologjik kemi të bëjmë me proliferim të indit lidhor dhe atij gjëndëror të gjirit. Përpos dëmit që shkakton me rritje ekspansive (shtynë indin normal përreth) nuk paraqet ndonjë rrezik siç është tendenca për malinjizim (pra, nuk shndërrohet në kancer). Duhet të përcillet me ultrazë se a po rritet apo jo. Nëse me ultrazë dhe mamografi nuk jemi të sigurt në diagnozën fibroadenome, duhet të bëhet biopsia (core biopsia) e këtij tumori.
Përshëndetje. Jam 47 vjeç. Para dy muajve hoqa një polip dhe përgjigjja e biopsisë rezulton:
Përshkrimi makroskopik: fragmente të buta bezhe dhe koagula gjaku.
Përshkrimi histologjik: Vihen re fragmente nga mukoza endometriale me një pjesë të strukturave grandulare, të dilatuara, disa me proliferime papilare në brendësi të lumenit dhe të tjera më të grupuara me njëra-tjetrën. Stroma është e bollshme dhe edematoze.
Konkluzion: ndryshime morfologjike të endometrit, propabilisht në teren të endometriopatisë disendokriniene. Elemente neoplazike në materialin e ekzaminuar nuk konstatohet.
Pas kësaj më është thënë për ndërhyrje, heqje mitre, pasi vazhdova me hemorragji.
Kjo përgjigje e biopsisë mund të përfshijë dhe qafën e mitrës?
Unë kam dhimbje mesi, dhimbje në rrëzë të kofshës së majtë dhe në brendësi të kockës së këmbës së majtë.
Të lutem doktor, më sqaroni për situatën në të cilën ndodhem?
Me respekt.
PËRGJIGJE: E nderuar. Së pari, nga përshkrimi i biopsisë, unë nuk kuptoj saktë se për çka bëhet fjalë (edhepse edhe unë jam specialist i patologjisë, i specializuar në Gjermani).
Së dyti, nëse keni gjakderdhje dhe ju është preferuar heqja e mitrës, para se ta hiqni mitrën, do të duhej të bëhet pastrimi i mitrës - një kyretazhe e fraksionuar (ndaras qafa e mitrës nga trupi i mitrës, gjë që nuk po bëhet në Kosovë) dhe të shikohet hapësira e mitrës me kamerë (hysteroskopia). Varësisht nga rezultati histopatologjik mund të diskutohet a duhet të hiqet mitra, apo jo. Nëse rezultati histopatologjik nuk tregon ndonjë patologji që i paraprinë kancerit, trajtimi i gjakderdhjes (hemorragjisë) mund të bëhet edhe në formë konservative (me medikamente, vënie të spirales) ose në formë operative (madje edhe duke e ruajtur mitrën), siç është heqja komplete e mukozës së mitrës (ablacioni me histeroskopi).
Përshëndetje doktor. Para 2 muajsh shkova në hotel me të dashurin dhe më kërkoi që të kryeja marrëdhënie seksuale. Unë nuk pranova, por ai insistoi duke më thënë që vetëm kokën e penisit do ta fus pak dhe nuk do të më zhvirgjëroj. Ai vetëm kokën futi, pa penetrim. Nuk pata gjakrrjedhje. Dua t’ju pyesja, a jam e virgjër. Nëse po, a mund ta dalloj këtë në kushte shtëpie pa shkuar te gjinekologu.
Ju faleminderit.
PËRGJIGJE:
Hymeni apo cipa e virgjërisë që ndodhet në hyrje të vaginës mund të pëlcasë lehtë, jo vetëm gjatë marrëdhënies së parë seksuale, por edhe në rast të lëndimeve sportive, etj, kruarjeve apo futjes së gishtërinjve pa vetëdije në vaginë (më gjerësisht për këtë temë, lexoni në rubrikën Këshilla mjekësore, tema: "Virgjiniteti dhe himeni").
Edhe te ju kjo ka mundur të ndodhë gjatë paralojës seksuale (në disa raste, pëlcitja e himenit nuk shoqërohet me gjakderdhje). Ju këshilloj që të shkoni në kontroll te gjinekologu nëse doni të dini patjetër a jeni e virgjër, apo jo.
Me respekt, Dr. Naim Shabani.
I nderuar dr. Shabani. Para katër muajve kam pasur një ndërhyrje laparoskopike për largimin e tri cisteve nga të dy vezoret, më e madhja ka qenë me diametër rreth 6 cm. Pas ndërhyrjes dhe analizave, ato rezultuan të jenë ciste endometrioze, jo të rrezikshme. Sipas gjinekologut, ndërhyrja ishte e suksesshme, vezoret tanimë i kam ‘të pastra’ dhe mënyra më e mirë për të parandaluar rishfaqjen e tyre është të ngelurit shtatzënë.
Ajo që më shqetëson aktualisht, është një dhimbje e lehtë në pjesën e poshtme të barkut dhe të shpinës, e cila nuk bëhet më e madhe, por edhe nuk largohet plotësisht. Aktivitetet e përditshme kam filluar t'i kryej tre javë pas operacionit dhe vazhdoj t'i kryej pa problem.
Sipas gjinekologut (i njohur në fushën e tij), pas heqjes se penjve më nuk kam nevojë për ndonjë vizitë, pasi që rezultatet e analizave dhe çdo gjë ishte në rregull.
A mund të jetë shfaqur ndonjë komplikim, apo a mund të ndikojë edhe gjendja psikike (shqetësohem për imtësira)? A mund të ndikojë ndryshimi i motit në gjendjen shëndetësore? Për sa kohë ndodh shërimi i plotë pas laparoskopisë?
Ju faleminderit shumë.
PËRGJIGJE:
Përshëndetje. Cistet e vezoreve paraqiten kryesisht te femrat e moshës reproduktive. Nëse një ciste persiston (qëndron më gjatë se 3 muaj, ka një madhësi 5 e më tepër cm dhe shkakton dhimbje - duhet të operohet. Operimi në të shumtën e rasteve (sikur tek ju), bëhet me laparaskopi. Kjo metodë e kirurgjisë mikroinvazive është efikase dhe mundëson shërim më të shpejtë të pacientes. Shërimi i plotë, megjithatë, zgjat disa javë, sepse edhe përkundër plagëve të vogla në lëkurë, në brendi të organizmit ndodhet një plagë e madhe e cila kërkon kohë për shërim komplet.
Meqenëse në rastin tuaj konkret ndjeni dhimbje në bark dhe shpinë, ju preferoj që të paraqiteni për kontroll gjinekologjik dhe ultrazë.
Përshëndetje doktor. Së pari ju falënderoj shumë për këshillat e juaja, sepse me të vërtetë më kanë ndihmuar. Jam 26 vjeçe, e martuar, mirëpo ende nuk kam lindur fëmijë. Kam pasur dy aborte, një me dëshirë e tjetri spontan. Ajo që më shqetëson është se pas marrëdhënieve kam gjakderdhje, më del gjak i kuq i ndezur dhe më fryhet barku. Kam bërë një PAP test dhe kisha infeksion, pastaj fillova me terapi dhe gjithçka u rregullua. Mirëpo, tani më shqetëson kjo situatë, sepse më del gjak gjatë marrëdhënieve dhe pas tyre. Disa mjekë më kanë thënë që vuaj nga anemia, sepse jam një tip që nuk ha mish, etj. Jam shumë nervoze dhe me stres.
Kërkoj këshillën tuaj. Ju lutem, sa më shpejt më ktheni një përgjigje, sepse jam në ankth.PËRGJIGJE:
Përshëndetje. Më vjen mirë që këshillat tona ju kanë ndihmuar dhe shpresoj që edhe këshilla e radhës t’ju shërbej për mbrojtje të shëndetit. Gjakderdhja në kontakt mund të jetë pasojë e patologjive të vaginës, ose më së shpeshti e qafës së mitrës. Në këto patologji hyjnë: polipet e vaginës ose të qafës së mitrës, lëndimi i epitelit të qafës së mitrës, por edhe sëmundjet malinje, siç është kanceri i qafës së mitrës.
Në këtë kontekst, më e rëndësishmja është diagnostikimi i sëmundjes që shkakton këtë gjakderdhje. Anemia është më parë pasojë e gjakderdhjeve dhe jo shkaku i këtyre gjakderdhjeve. Te ju është me rëndësi që të bëhet një ekzaminim i mirëfilltë gjinekologjik dhe pasi që është bërë PAP testi (ka qenë normal), të shkohet me kyretazhe të qafës së mitrës dhe të trupit të mitrës.
Jam 23 vjeçe nga Tetova, ka gati një vit që kam çrregullime me menstruacionet. Para 5 muajsh bëra disa kontrolle te gjinekologu dhe sipas disa analizave vërejtën që kam një ciste në vezoren e djathtë me gjatësi prej 7.5 cm dhe po ashtu bëra analizën e CA 125 II dhe rezultati doli 30,5. Tash përsëri pas 5 muajsh bëra kontroll, vërehet se ende është cista, por më e vogël, 6.6 cm dhe analiza e CA 125 II është 27,5. Tash më kanë dhënë udhëzim për në Shkup, por kisha dëshirë të marrë edhe mendimin tuaj.
Faleminderit. PËRGJIGJE:
E nderuar. Cistet e vezoreve paraqiten kohë pas kohe te femrat e moshës së re siç jeni ju. Shpesh këto ciste tërhiqen vetvetiu. Por nëse ato qëndrojnë (persistojnë) për më shumë se 2-3 muaj dhe kanë madhësinë 5 cm ose më tepër, preferohet të largohen me operim.
Heqja e cistes së vezores mund të behet pa problem me Laparoskopi. Me rëndësi është që te femrat të cilat nuk kanë lindur ende dhe/ose janë ende në moshën reproduktive që të ruhet vezorja (dmth të qërohet cista dhe jo të hiqet krejt vezorja). Përjashtim bëjnë rastet kur cista është e madhe (7-8cm) dhe nuk kemi fare ind të vezores së ruajtur ose kemi të bëjmë me një ciste e cila dyshohet se mund të jetë malinje (kancer).
Në vend të Shkupit (nëse ju konvenon juve), ju preferoj që të vini në Prishtinë për konsultë dhe eventualisht edhe për operim me Laparoskopi.
Përshëndetje. Jam e martuar qe 3 vite ku dëshiroj shtatzëni. Ku kam bërë folikullometrin në ditën e 13 të ciklit. Ku uterus në avf në murin e përparmë afër endometrumit vërehet një zonë me hipoekogjene (nyje miomatoza) me diametër prej 11mm.
Endometrimi është dyshtresor me trashësi prej 8.6.mm
Të dy vezoret mirë vërehen me ultrazë, në vezoren e majtë vërehet një folikul me diametër prej 17.3mm.
Te lutem doktor, tregomë çka duhet bërë edhe me ketë situatë a ka gjasa të mbes shtatzënë.
Me respekt.PËRGJIGJE:
Përshëndetje. Nga të dhënat e juaja kemi të bëjmë me një miomë submukoze me madhësi 11 mm. Myomat e lokalizuara nën mukozë (afër endometriumit) mund të shkaktojnë probleme siç janë gjakderdhje më e theksuar gjatë ciklit menstrual deri te problemet për të mbetur apo për te mbajtur shtatzëninë. Ju gjithsesi keni shanse për të mbetur shtatzënë. Nga të dhënat e pakta unë nuk di se a janë hulumtuar faktorët tjerë që mund të ndikojnë në mbetjen shtatzënë.
Ju kisha lutur që të paraqiteni për kontroll gjinekologjik dhe konsultë të mëtejme.
Jam 48 vjeçare. Para 20 muajsh jam operuar nga kanceri në gji me diagnozë post operative radikale: Carcinoma Lobulare Mammae Invasivum dhe klasifikim histopatologjik: pTNM=pT2 pN1 pMx G2 L1 V1 Cx Stage IIB.
Analiza imunohistokimike: ER -10%; PGR++ 40% ; Ki67 ++ 30%; p53- 0%; Her 2+++ 40%.
Jam e trajtuar me citostatik - Cytoxan + doxrubicin-IV-i.v , pastaj me Taxsol - IV i.v pas te cilave u vazhdua me herceptin -XVII . Tani më rekomandohen tableta Tamoxifen. Mirëpo, siç e dimë se Tamoxifeni është bllokator i receptorëve estrogjen, në rastin tim, receptorët estrogjen janë negativ.
Ju lutem, pres mendimin tuaj.PËRGJIGJE:
Përshëndetje. Karcinoma invasive e gjirit që është diagnostikuar te ju është sëmundje malinje më e shpeshtë te femrat.
Për ju por edhe për lexuesit e shumtë të telegrafit më poshtë po jap disa informata të rëndësishme që shpresoj do të ndikojnë sadopak në sqarimin e shumë pyetjeve në lidhje me këtë sëmundje dhe në vetëdijësimin e femrave tona për të zbuluar sa më herët kancerin e gjirit.
Çdo e 10-ta femër preket nga kanceri i gjirit. Diagnostikimi i hershëm dhe terapia e avancuar në vitet e fundit kanë bërë që kjo sëmundje të ketë prognozë të mirë. Për të zbuluar këtë sëmundje sa më herët dhe për ta trajtuar në mënyrë sa më efikase, nevojitet punë ekipore.
Përkujdesja për preventivën dhe terapinë e sëmundjeve të gjirit në shumicën e vendeve të Evropës perëndimore, pra edhe në Gjermani (ku unë punoj tash 20 vite), është detyrë e gjinekologëve, meqenëse gjiri është organ i cili është në lidhshmëri të ngushtë me hormonet seksuale femërore dhe ka një rol të rëndësishëm gjatë shtatzënisë dhe pas lindjes.
Është me rëndësi që secila femër në moshën reproduktive 1 herë në muaj pas menstruacioneve të ekzaminoj (prek ose palpojë) gjinjtë e vet. Çdo ndryshim i vërejtur në krahasim me prekjet e mëhershme, duhet të jetë sinjal për të shkuar te mjeku. Preferohet që kontrollimi i gjinjve te mjeku të bëhet së paku 1 herë në vit. Unë personalisht (është praktike apo shkollë gjermane), çdo femre e cila vjen për kontroll gjinekologjik, i ofroj mundësinë që t’i nënshtrohet ekzaminimit të gjinjve. Në rast se dyshohet për ndonjë sëmundje serioze të gjirit, mund të bëhet edhe mamografia.
E tëra kjo që përshkrova më lartë ka rëndësi të madhe, sepse zbulimi i hershëm i kësaj sëmundje do të thotë shërim i plotë.
Pas diagnostikimit të kancerit të gjirit (me ultrazë, mamografi dhe verifikimit me biopsi) pason terapia. Kjo konsiston në operim, hemoterapi dhe eventualisht rrezatim si dhe terapi endokrine.
Në rastin tuaj, pas operimit ka qenë e domosdoshme të aplikohet edhe hemoterapia. Të dhënat për rezultatin e receptorëve janë kontroverse. Ju shënoni se receptorët e estrogjenit (ER) janë negativ, por njëkohësisht jepni shifrën 10%, kurse receptorët për progesteron janë pozitive (PR 40%). Në rastet kur ER janë negative dhe PR pozitive, kemi të bëjmë me gabim të laboratorit. Në këto raste kërkohet të përsëritet analiza para se të vendoset se a ka nevojë të merret terapia antihormonale (në rastin tuja Tamoxifen) për 5 vite.
Ju preferoj që të vini në konsultë dhe eventualisht t’ua dërgoj bllokun me tumor në Institutin e patologjisë në Mynih (në klinikën tonë) për analizim të sërishëm të receptorëve hormonal.
Me respekt, Dr. Naim Shabani.
Jam një 31 vjeçe, e pamartuar. Qe 4 muaj kam dhimbje në të dy gjinjtë. Nga raporti ultrasonografik janë vërejtur ndryshme displastike-fibrocistike me madhësi 6-7mm. Ndryshimet e përshkruara sonografike u përgjigjen katagorizimit BI-RADS2. Doktori këtu në Kosovë më ka caktuar një terapi me barna.
Ju lutem doktor Naim, a është kjo diçka serioze që unë duhet të brengosem, sepse jam duke e përjetuar me shumë stres.PËRGJIGJE:
Ndryshimet displastike fibrocistike (siç i emërton si duket mjeku i juaj- terminologji e vjetër) apo më mirë të themi mastopathia fibrose cistike, paraqet një gjendje ku përfshihen një grup i gjerë ndryshimesh në gjinj të karakterizuara me shtim të indit lidhor dhe shfaqjen e formacioneve cistike. Për dallim nga fibroadenoma, mastopathia nuk është tumor. Në disa raste kemi proliferim jo vetëm të indit lidhor, por edhe të qelizave të epitelit të kanaleve të qumështit dhe nëse ky proliferim shoqërohet me qeliza atipike, kemi të bëjmë me të ashtuquajturën mastopathi atipike ose displazike (të gjitha terme të vjetra). Në raste të tilla, mastopatia kalon në prapavijë të problemit dhe ne flasim për gjendje prekanceroze, siç është hiperplazia duktale atipike ose karcinoma in situ e gjirit. Vet mastopathia fibroze cisitke nuk është gjendje prekanceroze, por një ndryshim degjenerativ mjaft i shpeshtë te femrat.
Trajtimi i kësaj gjendjeje që shoqërohet me dhimbje të gjinjve është simptomatik (pra, në zvogëlimin apo zhdukjen e simptomave). Preparatet të cilat përmbajnë hormon progesteron, neutralizojnë veprimin e hormonit estrogjen në gjinj dhe ndikojnë në përmirësimin e simptomatikes të kësaj gjendjeje.
Përshëndetje, kam pasur dy aborte spontane, kam bërë shumë analiza, nga rezultatet e të cilave nuk është zbuluar akoma shkaku i abortit. Kohët e fundit bëra një vizitë dhe një doktor më tha se kam një problem me mitrën, pjesa e sipërme nuk është e drejtë, por pak e përkulur. Diagnoza Uterus Subsepta dhe për këtë duhet bërë një ndërhyrje që quhet histeroskopi operative. Doja t’ju pyesja a duhet bërë kjo ndërhyrje dhe a ndikon në abort..
Faleminderit.PËRGJIGJE:
Aborti spontan mund të jetë pasojë e ndryshimeve organike apo funksionale në organizmin e femrës. Uterus subseptus mund të jetë një nga shkaqet organike të cilat rezultojnë me abort. Në këto raste mitra gjatë formimit si organ ka ngecur në zhvillimin e saj dhe si pasojë kemi mbetjen e një muri (septus) i cili ndanë pjesërisht (andaj edhe subsetus) hapsirën e mitrës në dy dhoma. Terapia në këto raste është operative. Operimi duket kësisoji: me anë të histeroskopisë (futje me kamerë përmes vaginës në mitër) bëhet prerja (mënjanimi) i këtij muri. Gjatë këtij intervenimi ekziston rreziku që të dëmtohet muri i vërtetë në fund të mitrës (përcillet me gjakderdhje, infeksione e deri te humbja e mitrës), andaj kjo procedurë duhet të monitorohet përmes laparoskopisë (LSK). Gjatë prerjes së septumit me dritën e kamerës së LSK përcillet trashësia e murit të vërtetë në fund të mitrës.
I nderuari doktor Naim. Jam 25 vjeçare, gjatë kontrollimit me Echo të gjinjve ka dalë ky përshkrim: gjate ekzaminimit me sonide lineare në të dy gjinjtë vërehen formacione cistike, më i madhi rreth 10x6mm rreth orës 9 djathtas.
Se paku një nyje limfatike në aksillen e djathtë.
Ju faleminderit.PËRGJIGJE:
Te ju bëhet fjale për mastopatine fibroze cistike. Është një sëmundje beninje që paraqitet me degjenerim të indit të gjirit, shtim të indit lidhor dhe paraqitje të cisteve. Këto ndryshime ndodhin për shkak të çrregullimeve hormonale. Sëmundja manifestohet me forcim dhe dhimbje të gjinjve, sidomos para menstruacioneve.
Terapia konsiston në dhënien e preparateve hormonale.
Përshëndetje, jam 30 vjeçe, kam një djalë 8 vjeçar. Para 3 vjetëve më janë krijuar disa mioma në mitër, të cilat i kam hequr me djegie në Shkup. Operimi ishte me sukses, por tash para 8 muajve, më filloi sërish gjakderdhja me sasi jo shumë të madhe. Menstruacionet i kam të çrregulluara. Prapë në Shkup, mjeku më tha se kam edhe një miomë me madhësi 5 cm. Bëra edhe Pap testin, që rezultoi me HPV (Herpes Papiloma Virus) si dhe si dhe CIN2, Endometriumi ka ndezje.
I nderuari mjek, më trego më gjerësisht se çka është HPV, edhe nëse ngelem shtatzënë mund të ndikojë në zhvillimin e frytit?
Me respekt.PËRGJIGJE: E nderuar. Një nga shkaqet e çrregullimit të ciklit mund të jenë miomët (posaçërisht te lokacioni në afërsi të mukozës- miomet submukozale; në lidhje me miomet, lexo të lutem, artikullin në Telegrafi). HPV virusi pozitiv te ju (i cili tip nuk e cekni?), nuk ndikon ne zhvillimin e shtatzënisë. CIN II i diagnostikuar te ju (me biopsi? ose konizim?), paraqet një gjendje prekanceroze (shkallë para se te paraqitet kanceri i qafës së mitrës) dhe kërkon mjekim adekuat. Edhe njëherë po e them për ju dhe lexueset tjera se, për këto dhe probleme të ngjashme gjinekologjike, duke përfshirë edhe trajtimin e sëmundjeve malinje gjinekologjike dhe të gjirit, nuk keni nevojë të shkoni në Shkup apo diku tjetër jashtë Kosove. Ne kemi mjaft ekspertë tanë, të cilët në formë ekipore, mund të bëjnë trajtim profesional.
Përshëndetje! Jam 26 vjeçe dhe kam probleme me cistet ne vezore. Herë pas here kam dhimbje në anën e majtë, por këto dhimbje i kam gjithmonë kur jam afër ciklit. Jam e fejuar prej 3 vjetësh dhe kam kontakte me të fejuar 2 ose 3 herë në javë. Problemi im është që këta 2 muaj kam pasur çrregullim të ciklit menstrual, janë ta pakta dhe me ngjyrë të kaftë dhe zgjasin 3-4 ditë. Menstruacionet i kam pasur shumë fikse, 28 ditë të plota. Ajo çka më shqetëson mua është të di se a ndikon prania e cisteve në vonesë të ngeljes shtatzëne?
Pres përgjigjen. Ju faleminderit.PËRGJIGJE:
E nderuar. Paraqitja e herëpashershme e cisteve te femrat e reja (në moshën reproduktive) është gjë normale. Cistet duhet te trajtohen me intervenim operativ (p.sh. Laparoskopi) vetëm nëse nuk tërhiqen vetvetiu për disa muaj, nëse shkaktojnë dhimbje të padurueshme dhe janë të dyshimta në ekzaminimin me ultrazë. Cistet me madhësi më tepër se 5 cm zakonisht nuk tërhiqen vetvetiu dhe duhet të operohen.
Cistat në të shumtën e rasteve nuk pengojnë që një femër të mbetet shtatzënë (edhepse ka raste kur ato prodhojnë hormone, çrregullojnë ciklin menstrual dhe shtatzënia nuk është e mundshme). Nga ana tjetër, nuk preferohet që një femër të mbetet shtatzënë para se të mënjanohet cista me kriteret e lartpërmendura.
Ju preferoj te konsultoheni me gjinekologun e juaj.
Përshëndetje doktor. Jam një zonjë 47 vjeçare, vuaj nga menopauza dhe periodat më vijnë me rregull, por kam gjakderdhje shumë të mëdha. Ato më zgjasin deri në 8 ditë dhe kam dhimbje të padurueshme gjatë tërë kohë. Jam anemike, kam qenë te gjinekologia, e cila më ka propozuar këto medikamente: shurup Ferritin për anemi, pika Methylergometrin për ndalimin e gjakderdhjes së tepërt dhe Bonisan për pagjumësi. Më kanë thënë që tabletat Jasemin janë për rregullimin e gjakderdhjes dhe dhimbjes. A janë të dëmshme për përdorim.
Ju lutem, më ktheni përgjigjen sa më shpejt. PËRGJIGJE:
Përshëndetje zonjë. Nëse ju keni menstruacione të rregullta (çdo muaj), atëherë ende nuk jeni në menopauzë. Gjakderdhjet e tepërta (hypermenorrhoe) mund të jenë si pasojë e çrregullimeve hormonale, por edhe për shkak të sëmundjeve tjera, siç janë psh., myomet, por edhe ndryshimet që mund të qojnë drejt kancerit. Dhimbjet mund të jenë si pasojë e sëmundjes endometrioza apo e ndonjë patologjie tjetër Marrja e medikamenteve që përmendni për një kohë të gjatë pa e ditur shkakun e gjakderdhjes, nuk është në rregull.
Ju preferoj qe te konsultoheni me gjinekologun e juaj dhe te informoheni saktësisht, sepse keni gjakderdhje të theksuara që ju qojnë drejt anemisë. Nëse është e nevojshme duhet bërë një shikim të zgavrës së mitrës (hysteroskopi) dhe të bëhet pastromi i mitrës (kiretazha). Materiali i fituar dërgohet për ekzaminim histopatologjik.
Me respekt, Dr. Naim Shabani
Përshëndetje. Uroj për detyrën që keni dhe ndihmën që bëni me konsultat tuaja. Unë që po ju shkruaj jam një vajzë 24-vjeçe nga Shqipëria dhe do doja këshillën tuaj si mjek për një problem që kam hasur kohët e fundit. Para dy vjetësh kam kryer për herë të parë marrëdhënie seksuale me partnerin tim aktual, për herë të parë kam pasur dhimbje dhe gjakderdhje për disa ditë me radhë. Kam bërë disa analiza urinare dhe më dolën mirë, pa probleme. Në marrëdhënien e fundit, pata pak gjakrrjedhje, por që nuk zgjati as 5 minuta. U shqetësova dhe do doja të dija ngase shkaktohet? A është ky një infeksion dhe cilat janë simptomat? A duhet të bëj një vizitë te gjinekologu? Ju lutem, më ktheni një përgjigje nëse mundeni.
Ju faleminderit!
Gjithë të mirat, E.PËRGJIGJE:
Gjakderdhja gjatë aktit seksual (ose si quhet në mjekësi - gjakderdhje në kontakt) mund të jetë pasojë e disa patologjive, siç është, psh., polipi i qafës së mitrës, një ndryshim beninj, por mund të jetë edhe shenjë e kancerit të qafës së mitrës.
Ju jeni e re dhe nuk besoj se kjo e fundit mund të jetë shkaku. Sidoqoftë, ju preferoj që të paraqiteni te gjinekologu i juaj për të bërë PAP testin (citologjinë e qafës së mitrës).
Tung, jam një zonjë 53 vjeçe nga Prizreni, vuaj nga një varrë në qafë të mitrës tash e sa vite, kam bërë një sërë analizash e testesh (papa), kontrolle, por kot. Mbaj një erë të keqe, vazhdimisht me sekrecion. Mjekët më kanë rekomanduar vaginaleta të ndryshme, por pa ndonjë sukses. Kam kërkuar të ma heqin mitrën, por nuk më kanë lejuar. Çka duhet të bëj? Mirëpres këshillën tuaj.
Flm për këtë mënyrë të komunikimit.
PËRGJIGJE:
Përshëndetje zonjë. Nga të dhënat e juaja shihet se vërtet vuani nga ky problem. Unë kam pak të dhëna mbi rezultatin e PAP testit dhe analizave tjera bakteriale. Në rend të parë është e rëndësishme që PAP testi të jetë në rregull (të mënjanohet dyshimi për ndonjë ndryshim prekanceroz (displazi) të qafës së mitrës. Edhe strishoja bakteriale është me rëndësi. Ju shkruani se keni marrë vaginaleta të ndryshme, por pa sukses. Këtu po theksoj se, në bazë të përvojës nga pacientët që vijnë te unë në kontroll, fatkeqësisht si edhe në shumë lëmi të tjera të mjekësisë (pra, jo vetëm në gjinekologji), vërej se ata ngarkohen me barna të shumta. Kur është fjala për vaginaleta të ndryshme duhet patur kujdes se në disa raste mund të vjen deri te shkatërrimi i florës vaginale që mund të ketë pasoja afatgjate.
Përshëndetje doktor, kam kaluar dy aborte, mjekët konstatuan që kam uterus bicornis.
Ju kisha lutur të më ktheni përgjigje, çka duhet të bëj?
Ju përshëndes.PËRGJIGJE:
Zhvillimi jonormal i mitrës (anomalitë) i hasim në 0,1-3,2 % të femrave. Shumë femra nuk e dinë fare meqenëse këto anomali nuk kanë ndikim në shtatzëni. Anomalia më e shpeshtë është Uterus bicornis (mitra me 2 “brinjë“), ku mitra në vend të formës normale (si ajo e dardhës) ka një thellim në fund dhe merr formë të zemrës. Forma tjera të zhvillimit jonormal janë: Uterus unicornis (me një “bri“), uterus septus (hapësira e mitrës e ndarë me një mur të hollë) e deri te mitra e dyfishtë. Është vështirë të konstatohet se sa mund të ndikojnë këto anomali në mbetjen shtatzënë të femrave. Problemet paraqiten në mbajtjen e shtatzënisë dhe zhvillimin deri në kohën e lindjes. Në rastin tuaj duhet hulumtuar dhe mënjanuar edhe shkaqe të tjera që mund të qojnë deri te aborti.
Përshëndetje doktor. Ju falënderoj për ndihmën që po na e jepni përmes e-mailave tuaj. Gruaja ime ka qenë e diagnostikuar me tumor në mitër (Mioma Uteri)…tumori ka qenë kryesisht i lokalizuar në brendësi të mitrës dhe me anë të operacionit është hequr e tërë mitra. Pyetja ime është se a ka mundësi të përsëritjes së tumorit apo mund të jemi të qetë. Rezultati i tumor markerit para operacionit ka qenë 17.5 dmth ,sipas mjekëve shihet në suaza normale të lejuara.
Në bazë të CT-së që kemi bërë në Maqedoni, specialisti atje na tha që është tumor mashkullor dhe nuk kemi pse të brengosemi….
Faleminderit paraprakisht dhe ju uroj punë të mbarë
Me respekt.PËRGJIGJE:
I nderuar. Në fillim dua t’ju qetësoj duke ju thënë që mioma është tumor "i mirë" beninj dhe nuk ka arsye që të brengoseni se mund të rishfaqet. Përcaktimi i tumormarkerëve në rastet kur në ultrazë vërejmë miomë të mitrës, është i panevojshëm (si edhe CT-ja).
Meqenëse jam gjinekolog dhe patolog (mjek specialist i cili ndër të tjera cakton diagnozën histopatologjike të tumoreve) për ju dhe lexuesit e nderuar të telegrafit, do të jap disa sqarime në lidhje me këtë tumor në punimin që do të botohet te Tema e javës (të mërkurën).
Jam në moshën 43 vjeçe, kam tri lindje prej të cilave njëra ka qenë lindje e frytit të vdekur në muajin e 6-të të shtatzënisë, e më pastaj kanë pasuar fatmirësisht edhe dy lindje tjera në rregull. Në kontrollin rutinor gjinekologjik është vërejtur prania e një polipi me madhësi shumë të vogël në sipërfaqe të qafës së mitrës...Përndryshe të gjitha analizat e bëra, si Papa testi, Strishoja vaginale, Urinokultura kanë rezultuar në rregull...cikli menstrual ka qenë në rregull pa gjakderdhje të shprehur në masë të madhe (dhe 2-3 ditë para datës së ciklit paraprak, pra çdo 27 ditë).
Tani kanë filluar, nëse mundem me i quajtur, disa çrregullime sa i përket datës së fillimit të ciklit dhe atë edhe deri në 6 ditë para kohës. Gjakderdhja pak a shumë është normale, nuk kam dhimbje të mëdha, nuk përdori asnjë medikament kundër dhimbjeve, as mjete kontraceptive.
Doktor, çka më kishit preferuar në lidhje me atë polip, a duhet të largohet apo të mos ngacmohet.
Ju falënderoj paraprakisht duke shpresuar që pyetjes sime do t’i përgjigjeni dhe ju dëshiroj punë të mbarë.
Merita.PËRGJIGJE:
P&























































