Të gjithë e kemi qafën të shtrembëruar nga qëndrimi ulur: Ky ushtrim do t’jua kthejë në pozitën natyrore (Video)
Dr. Paula Moore, e cila është edhe kiropraktikuese, në video-spotet e veta sqaron shkaktarët dhe pasojat e shtrembërimit të qafës, por ajo që është më e rëndësishme është që jep edhe këshilla praktike se ç’duhet të bëni.
Pothuajse nuk ka njeri në botë të cilit qafa i qëndron natyrshëm ashtu siç do të duhej, që është pasojë e qëndrimit ulur, shikimit në kompjuter, telefon, por edhe pasojë e vetë plakjes.
Prandaj në një moshë të caktuar është e domosdoshme të fillohet me ushtrimet të cilat qafën e kthejnë në pozitë natyrore, transmeton Telegrafi.
Këtu po ju paraqesin ushtrimin më të rëndësishëm për kthimin e qafës në pozitë natyrore, përkatësisht mbajtjen e saj në pozitë natyrore.
Qëndroni drejt, por të relaksuar, në pozitën e cila ju është e natyrshme.
Pastaj bëni këto lëvizje – ngrini kokën lart, mjekrën tërhiqeni nga vetja, drejt kraharorit dhe tërë qafën dhe kokën lëvizeni ngadalë prapa, ashtu që veshët t’ju arrijnë në nivel me supet, siç tregon dr. Moore në këtë xhirim.
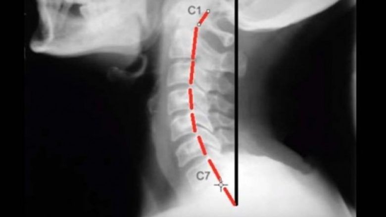
Në spotin e ardhshëm mund të shihni se si duket incizimi i qafës e cila rri drejt, përkatësisht pozitën natyrore të unazave.
Ndërkaq këtu shihet pozita e unazave kur qafa është e lëshuar, gjë që me ushtrimet paraprake dëshirojmë t’i shmangim.
/Telegrafi/


