Një rreze X zbuloi një "masë të pazakontë" në trurin e një vajze: Mjekët nuk mund ta besonin atë që po shihnin, operohet urgjentisht tetëvjeçarja
Një histori e pabesueshme është regjistruar në Kirgistan, ku mjekët u detyruan të operojnë një vajzë tetëvjeçare.
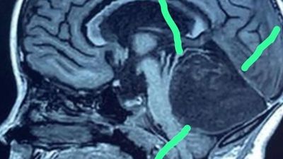
Nuk dihet pse ajo ka ardhur në spital dhe procedura e ndërlikuar është urdhëruar pasi kanë arritur rezultatet e rrezeve X, transmeton themirror.
Një paciente e re nga rajoni i Jalal-Abad kishte një "masë të pazakontë" në trurin e saj, në të ashtuquajturën barkushe të katërt.
Ekipi kirurgjik drejtohej nga doktoresha Mitalipa Mamitov dhe ekspertët mbetën të shtangur kur kuptuan se “masa” në video ishte në fakt një fije floku, një metër e gjatë.
Ministria e Shëndetësisë ka publikuar imazhet në Facebook.
“Fija u rrit gjatë gjithë jetës së vajzës. Qimet ishin të rrënjosura në bazën e ventrikujve dhe të gjitha mund të jenë shkaktuar nga një anomali në zhvillimin para lindjes. Nëse nuk do të ishin nxjerrë do të përbënin rrezik për shëndetin”, thuhej në njoftim. /Telegrafi/


