Një burrë nga Teksasi ‘ejakuloi nga anusi’ dhe ‘urinoi jashtëqitje’ për dy vjet - para se të kërkonte ndihmë
Një burrë ejakuloi nga anusi dhe urinoi jashtëqitje pasi zhvilloi një gjendje të rrallë që prek rreth pesë në një milion njerëz.
Sipas mediave të huaja, përcjell Telegrafi, 33-vjeçari, nga Teksasi, injoroi simptomat për dy vjet para se të vendoste të kërkonte ndihmë mjekësore për shkak të dhimbjes së testikujve për pesë ditë.
Ai u tha mjekëve se kishte nxjerrë një "sasi të konsiderueshme" të spermës dhe urinës nga anusi i tij gjatë dy viteve të fundit.
Ai gjithashtu u ankua për fecaluria - prania e lëndës fekale në urinë.
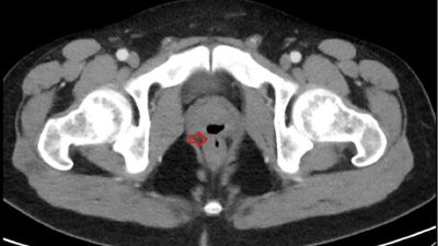
Mjekët zbuluan se ai kishte një lidhje jonormale midis prostatës dhe rektumit të tij që po bënte që sperma e tij të dilte nga një “grykë e papritur”.
Gjendja e tij ishte aq e pazakontë sa ata shkruan për gjetjet e tyre në një letër të quajtur "Një rast kurioz i derdhjes rektale", i cili u botua në revistën Cureus.
Mjekët thanë se gjendja e burrit - një fistulë rektale-prostate - është shkaktuar në përgjithësi nga operacioni ose kushtet inflamatore si ajo e Crohn.
Kjo është një gjendje shumë e rrallë që prek rreth pesë në një milion njerëz në vit.
Mjekët thanë se simptomat e zakonshme përfshijnë gjakun dhe fecesin në urinë, si dhe infeksionet e traktit urinar (UTI).
Por ekipi, nga Universiteti i Teksasit, vuri në dukje se kalimi i spermës në këtë mënyrë është ‘i rrallë’.
Burri, i cili gjithashtu vuante nga një ënjtje e testikulit të majtë, tha se nuk i ishte nënshtruar asnjë operacioni ose kishte pësuar trauma rektale. /Telegrafi/


