Hematomat (gjakderdhjet) brendatrurore

Dr. Bujar Kastrati, neurokirurg
Shkaqet, prezantimi klonik, diagnostikimi dhe trajtimi
Hematomat intracerebrale ndahen në dy grupe të mëdha: traumatike dhe spontane. Shkaktarët më të shpeshtë të këtyre hematomave (gjakderdhjeve) janë:
* Hipertensioni arterial esencial
* Eclampsioni
* Angiopatitë amyloidike
* Malformacionet arterio venose
* Aneurizma
* Tumoret
* Koagulopatitë
* Vaskulopatitë (sëmundjet e ndryshme të enëve të gjakut të trurit)
Faktorët e rrezikut për hematomat (gjakderdhjet) intracerebrale
a. Mosha. Predispozimi për gjakderdhje rritet pas moshës 55 vjeçare, dyfishohet në secilën dekadë deri në moshën 80 vjeçe.
b. Gjinia. Meshkujt janë më të predispozuar për këtë lloj të gjakderdhjeve.
c. Infarkti ose ishemia cerebrale e kaluar më parë, rritë rrezikun për gjakderdhje intracerebrale
d. Abuzimi me alkool.
e. Duhani nuk është vërtetuar se rritë rrezikun për gjakderdhje.
f. Abuzimi i drogave (amphetamina).
g. Sëmundjet e ndryshme të mëlçisë.
Lokalizimet më të shpeshta të hematomave intracerebrale për shkak të hipertensionit arterial janë:
1. Ganglionet bazale 50% të rasteve dhe manifestohet me
* hemiparese kontralaterale,
* ndryshim të sensibilitetit të anës kontralaterale,
* ndryshime në shikim.
2. Regjionet lobare 20-50 % të rasteve manifestohen me shenja klinike, varësisht në cilin lob ka ndodhur gjakderdhja, p.sh., në lobin frontal manifestohet me ndryshim të statusit mental, konfuzitet, si dhe mund te prezantojë me atak epileptik
3. Talamus 10 -15 % të rasteve manifestohet me ndryshime në sensibilitet në anën kontalaterale
4. Pons, në 5 -12 % që manifestohet me ndryshime në shikim dhe vështirësi në gëlltitje
5. Cerebelare 3-5% që manifestohet me ndryshime në ekuilibër, ndryshime në ecje.
Prezantimi klinik
Hemorragjitë intracerebrale, prezantimin klinik e kanë më të ngadalshëm që shkon me minuta deri në disa orë për ndryshim nga një atak ishemik, infarkt cerebral apo hemorragji subarachnoidale tek të cilët prezantimi klinik ka fillim të shpejtë (si bubullima në qiellin e kthjellët).
Varësisht nga lokalizimi paraqiten edhe shenjat klinike.
Zakonisht, fillimin e kanë me dhembje të forta koke, që përcillen me të vjella, si dhe ndryshime në statusin mental të të sëmurit.
Diagnostikimi
Sot, gjakderdhjet diagnostikohen shumë lehtë:
a. Ekzaminimi preciz neurologjik është çelësi për diagnostikim.
b. Tomografia e kompjuterizuar e trurit ose CT është metodë më e shpejtë e zgjedhjes për diagnostikimin e këtyre gjakderdhjeve.
c. Rezonanca magnetike e trurit MRI, gjithashtu është metodë shumë e saktë e diagnostike.
d. Angiografia cerebrale indikohet për të gjetur shkaktarin e gjakderdhjes dhe për të përjashtuar aneurismat si dhe malformacionet arterio-venoze si shkaktare të gjakderdhjeve.
Trajtimi
Sot, trajtimi i hematomave intracerebrale është temë diskutimi në mesin e neurokirurgëve dhe neurologëve dhe në këtë drejtim ka mendime mjaft kontroverse.
Çështja është si të trajtohen në mënyrë konservative ose kirurgjikale. Vendimi për të trajtuar një pacient në mënyrë kirurgjikale duhet të individualizohet. Dhe, kjo varet nga disa faktorë:
* gjendja neurologjike (Glasgow Coma Scale)
* lokalizimi i hematomës
* vëllimi i hematomës
* mosha
Trajtimi konservativ
Faktorët që favorizojnë trajtimin konservativ:
1. Lesionet minimale simptomatike, Glasgoë Coma Scale më e madhe se 10.
2. Situatat me shumë pak shpresë për një gjendje të mirë pas operimit:
3. Koagulopatitë e shkallës së rëndë.
4. Pacientët me moshë mbi 75 vjeç.
5. Lokalizimi i hematomës te ganglionet bazale.
Faktorët që favorizojnë trajtimin kirurgjikal:
1. Lesionet me efekt mase dhe edema shift në CT, endokraniumi.
2. Lesionet tek të cilat shenjat klinike janë pasojë e rritjes së shtypjes intrakraniale nga edema përreth hematomës.
3. Vëllim i moderuar i hematomës 10 -30 cc.
4. Shtypja intrakraniale e rritur përkundër masave të ndërmarra për uljen e saj.
5. Keqësimi klinik rapid.
6. Lokalizimi i mirë i hematomës (kortikal dhe subkortikal).
7. Mosha e re.
8. Koha e intervenimit duhet të jetë brenda 24 orëve.
Janë bëre shumë studime në klinika referente në botë për benifitin e pacientëve nga tretmani kirurgjik. Disa studime i japin përparësi trajtimit kirurgjikal duke i respektuar kriteret e përmendura më lart, kurse tek një numër i studimeve thuhet se rezultati i trajtimit konservativ dhe kirurgjikal është i njëjtë. /Telegrafi/
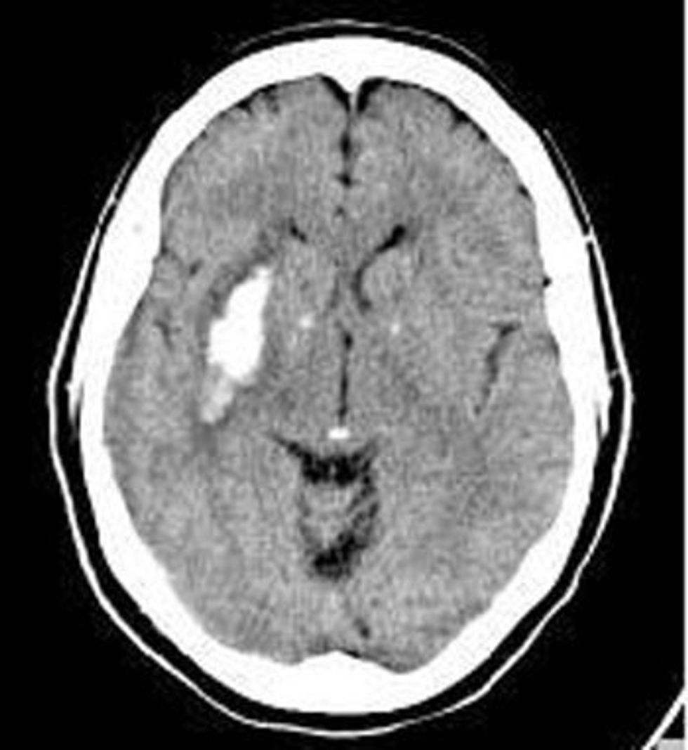
CT endocraniumi ku shihet hematoma intracerebrale në regjionin e ganglioneve bazale djathtas
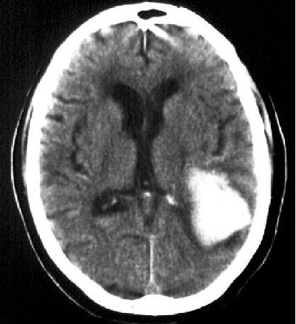
CT endocraniumi ku shihet hematoma intracerebrale parietale e majtë që komprimon cornu occipitalis të ventrikulit lateral. Gjithashtu shihet fillim i një hydrocephali obstruktive treventrikulare
CT endocraniumi ku shihet hematoma intracerebrale Temporo – Occipitale e djathtë hyperdense me edem përreth hematomes si dhe shift i hemisferës së djathtë majtas ku shihet që ventrikujt në anën e djathtë, janë të komprimuar nga efekti mase i hematomes.
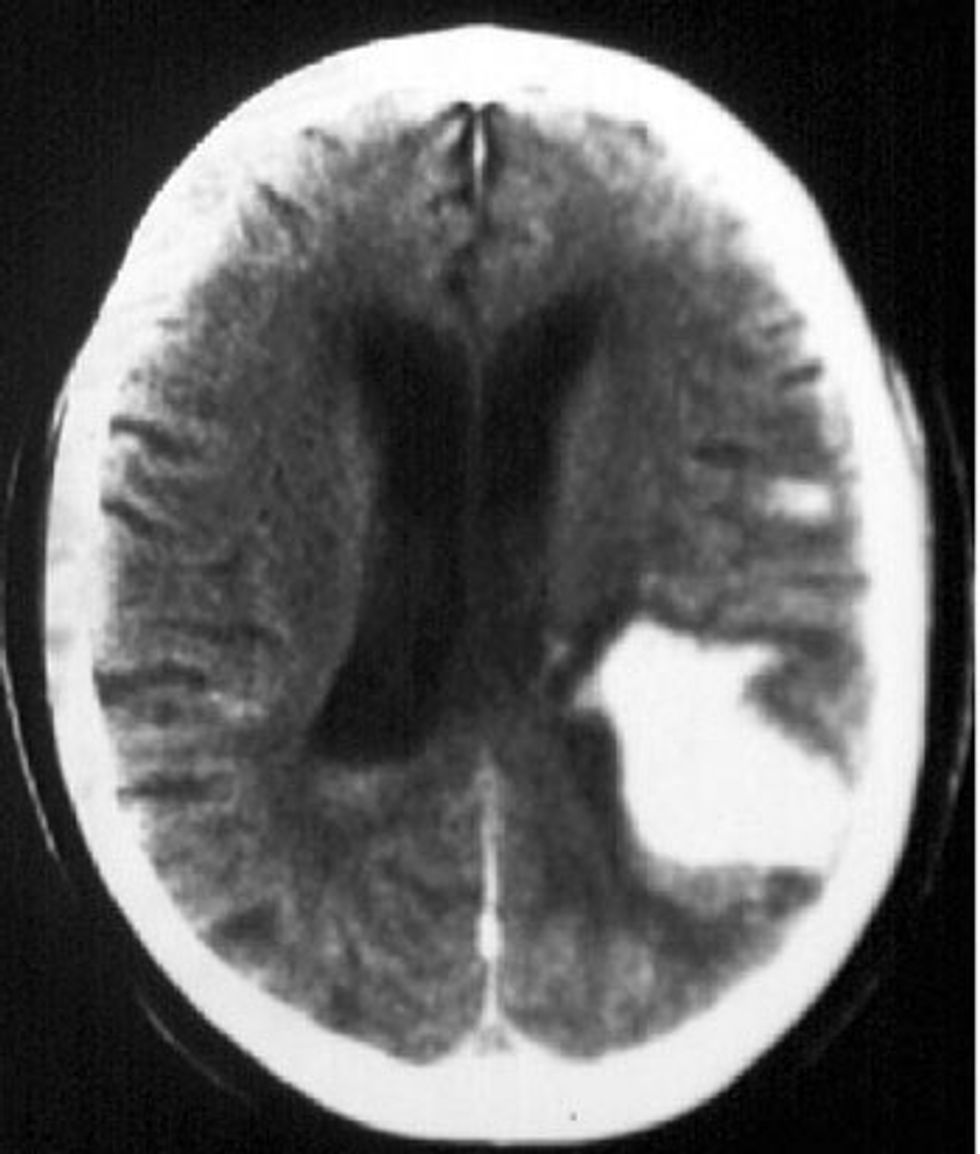
CT endocraniumi ku shihet hematoma intercerebrale me lokalizim kortikal dhe subkortikal parietal majtas në ditën e shtatë me fillim të resorbimit, që paraqitet me hipodensitet përreth hematomës
























































