Çfarë është kirurgjia e zgjerimit dhe çarjes së aortës torakale?

Dr. Endrit ShalaKardiokirurgEACTS Fellow në kirurgjinë e aortës, rrënjës së aortës dhe riparimit të valvulës aortikee-mail: drendrit@gmail.comtel: +383 44 448 268Ky tekst ofron informacione mëse të detajuara për laikët e mjekësisë
Aorta është arteria më e madhe dhe kryesore e organizmit të njeriut. Ajo është shpërndarësja kryesore e gjakut në organizëm pasiqë del nga zemra dhe nga aty përmes degëve të saj, bart gjakun me oksigjen dhe materie ushqyese në pjesë të tjera të trupit, përfshirë trurin, organet e tjera të gjoksit, organet e barkut, madje deri edhe në periferi.
Aorta është enë gjaku elastike dhe me diametër (aorta ascendente 2.2-3.6cm; aorta descendente 2.0-3.0cm), por me kalimin e kohës muret e saj mund të dobësohen dhe rrjedhimisht të zgjerohet. Kjo quhet aneurizëm aorte. Në disa raste nën presionin e lartë e të pakontrolluar të gjakut, shtresat e aortës mund të çahen (shqyhen). Kjo quhet diseksion i aortës. Këto dhe disa sëmundje tjera të saj mund të komprometojnë funksionin jetik të aortës dhe në rastet kur ekziston kërcenim serioz i jetës së pacientit, vije në shprehje intervenimi kirurgjik i saj.
Meqë aorta është enë gjaku voluminoze, edhe kirurgjia e saj është e masive pra shumë invazive. Njerëzit mund të kenë nevojë ndonjëherë për kirurgji urgjente aortike, por mbijetesa është shumë më e vogël sesa në rastet e planifikuara kirurgjike.
Sipas rekomandimeve të fundit nga Shoqata Evropiane për Kardiologji (2014) dhe Asociacioni Amerikan i Zemrës (2022), operimi i aortës vije në shprehje nëse:
▪ diametri i saj është ≥5.5cm. (pa sëmundje shoqëruese të saj)
▪ diametri i saj ≥5.0cm nëse ekziston bikuspidi e valvulës aortike
▪ diametri ≤5.5cm por ka rritje vjetore ≥0.5cm/1vit.
▪ ekziston zgjerim i saj i shoqëruar me simptoma që i atribuohen zgjerimit ndonëse diametri nuk ka arritur ≥5.5cm.
▪ diametri ≥4.5cm nëse ka sëmundje të indit lidhor si Sindroma Marfan, Ehlers-Danlos, Loeys-Dietz apo aortopati gjenetike.
▪ diametri i saj ≥5.0cm dhe asimtomatik, por që realizohet nga kirurgu me eksperiencë duke kaluar përmes konziliumeve profesionale (Multidisiplinary Aortic Team), kirurgjia arsyetohet.
▪ diametri ≥5.0cm dhe pacienti primarisht i nënshtrohet intervenimeve tjera si riparimi/zëvendësimi i valvulës aortike, mitrale apo trikuspidale, CABG (operime konkomitante).
Bazuar në situata specifike, edhe indikacionet mund të ndryshojnë gjithnjë duke vlerësuar benefitin ose rrezikun e intervenimit, gjithnjë duke u trajtuar në Ekipe multidisciplinare. Është mëse e vërtetë se aorta e zgjeruar ≥5.5cm, ka rrezik të shtuar për çarje (disekim), andaj edhe rekomandimet e intervenimit sillen rreth atij diametri.
Ekzistojnë shumë faktorë rreziku dhe sëmundje/gjendje që ndikojnë në zgjerimin apo çarjen e aortës tuaj. Më të shpeshtat prej tyre janë:
Kirurgjia e aortës është serioze sepse jeta e individit mbështetët në funksionalitetin dhe integritetin e aortës. Operimet e saj janë sfiduese, përplot me komplikime gjatë, para dhe pas intervenimit. Sëmundshmëria e saj është shumë e lartë ashtu siç është edhe mortaliteti i saj, veçmas kur bëhet fjalë për çarjen e aortës (diseksioni). Por ashtu si çdo kirurgji, edhe kirurgjia e aortës mund të shkoj mirë nëse nuk ka vonesë në trajtim. Pra, vdekshmëria nga intervenimi është shumë më e ulët nëse operohet zgjerimi i aortës para se të ndodh çarja e saj.
Si realizohet procedura operative?
Në mënyrë të rëndomtë dhe në varësi prej situatës ajo bëhet përmes:
▪ Sternotomisë (prerjes së “dërrasës së gjoksit”- sternumit)▪ Torakotomisë (prerjes së brinjëve) apo▪ Endovaskulare (përmes enëve të gjakut dhe pa prerje)=procedurë jo-kirurgjike
Secila prej tre metodave të përmendura ka përparësitë dhe mangësitë e veta, si dhe secila ka indikacionet dhe kundërindikacionet e veta konform situatave të caktuara.
Kirurgjia e hapur (përmes sternotomisë apo torakotomisë) e aortës torakale kërkon rëndom ndërprerje të punës së zemrës gjatë realizimit të operimit. Andaj është obligative përdorimi dhe lidhja e pacientit me të ashtuquajturën Aparatura për Qarkullim jashtë-trupor (ECCS). Kjo aparaturë e mban pacientin në jetë gjersa zemra e tij nuk punon, gjatë intervenimit. Pra, ajo luan rolin e zemrës dhe mushkërive njëkohësisht. Për të lidhur atë me pacientin, ndonjëherë mund të ketë nevojë për më shumë se 1 prerje (incision), shpesh herë në enët periferikë të gjakut.
Në varësi të dëmtimeve dhe lokacionit të zgjerimit apo çarjes së aortës, planifikohet edhe metoda e caktuar e kirurgjisë. Të aprovuara shkencërisht nga hulumtimet relevante shkencore, sot njihen këto mënyra të korrigjimit të problemeve të aortës:
▪ Zëvendësimi i aortës ascendente/rrënjës së aortës me/pa zëvendësimin/riparimin e
valvulës aortike.
▪ Zëvendësimi i aortës ascendene me/pa reimplantimin/remodelimin e rrënjës së aortës.
▪ Zëvendësimi i aortë ascendente me/pa zëvendësimin e harkut të aortës.
▪ Zëvendësimi i vetëm harkut të aortës
▪ Zëvendësimi i rrënjës me/pa intervenim të valvulës aortike
▪ Zëvendësimi total i valvulës aortike, aortës ascendente dhe harkut.
▪ Zëvendësimi i aortës torakale zbritëse.
▪ Procedurat hybrid kirurgji e hapur/endovaskulare me/pa debranching (modifikim të enëve supraaortike)
Për zëvendësimin e segmentit të dëmtuar të aortës, zakonisht përdoren grafte specifike sintetike apo edhe biologjike me/pa protezë valvulare, me/pa stentgraft.
Mjekut në përkujdesje apo kirurgut duhet treguar të gjithë historinë e simptomave, sëmundjeve ekzistuese apo të mëhershme, operimet e mëhershme, alergjitë, të gjitha ilaçet ekzistuese që pacienti merr me apo pa përshkrim. Disa prej ilaçeve madje edhe mund të ndërpriten para intervenimit.
Gjithnjë me rekomandimet e mjekut do të duhet pacienti t’i nënshtrohet ekzaminimeve paraintervente të cilat vërtetojnë diagnozën ekzistuese apo edhe ndonjë sëmundje shoqëruese. Rëndom para kirurgjisë, ekzaminimet e nevojshme realizohen nga kardiologu e në rastet emergjente edhe nga mjeku emergjent bashkërisht me kardiologun. Në sëmundjet joemergjente aortike, diskutimi multidisciplinar shpeshherë është i nevojshëm.
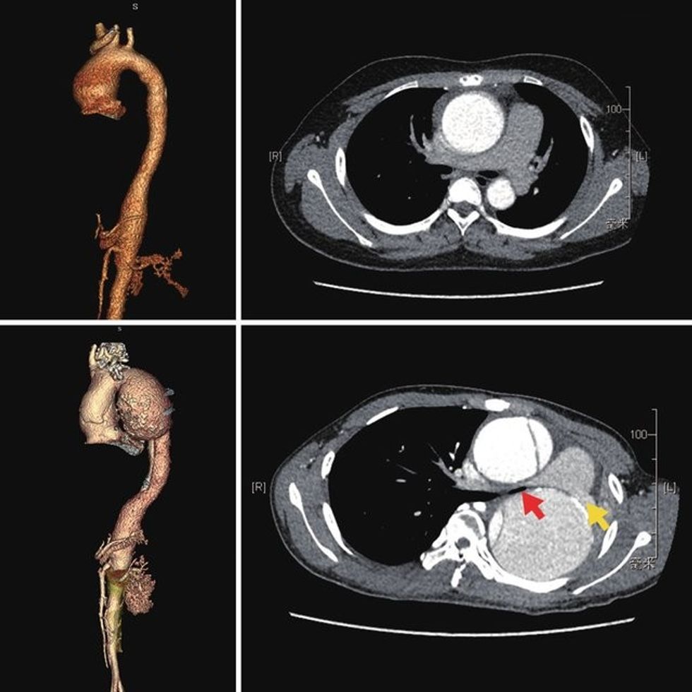
Metodat diagnostike kryesore për sëmundjet e aortës janë: Ekokardiografia, Angio MRI/CT, Aortografia, më rrallë PET Scan, IVUS.
Planifikimi definitiv për kirurgji të tillë kërkon edhe mobilizim të familjarëve/afërmve të pacientit për dhurim gjaku të freskët, sepse sasia e transfuzionit të gjakut dhe produkteve të tij në kirurgji të tilla çdoherë është e madhe. Produktet e gjakut janë esenciale në këtë lloj kirurgjie, andaj ato duhet të jenë në sallën intervente para fillimit të operimit.
Si çdo lloj kirurgjie, edhe kjo procedohet tutje pas sqarimit të detajuar për pacientin dhe të afërmit e tij të nevojës për intervenim, procedurës intervente, komplikimet, përfitimi dhe rreziqet, si dhe pas pajtueshmërisë formale të pacientit për intervenim të tillë.
Sa zgjat operimi i aortës?
Kohëzgjatja e operimit të aortës është e lidhur me llojin e intervenimit në aortë, emergjencës së operimit dhe lokacionit të dëmtimit në aortë. Zakonisht kirurgjia e aortës është e gjatë që variron nga 6 – 12 orë, përjashtimisht metodave endovaskulare që zgjasin 2-4 orë. Ndonjëherë kirurgjia e hapur mund të shkojë edhe përtej 12 orëve në kohëzgjatje.
Komplikimet poashtu varen nga lloji i intervenimit dhe emergjenca e operacionit. Megjithatë komplikimet më të shpeshta janë:
Menjëherë pas përfundimit të operimeve në aortë, pacienti transferohet në mjekimin intensiv kardiak (MIK). Fillimisht pacienti qëndron nën frymëmarrjen artificiale dhe nën analgo-sedacion dhe sipas nevojës me barëra intravenoze mbështetëse kardiake, lëngje, antibiotikë etj., si dhe paisje të tjera mbështetëse elektrofiziologjike apo cirkulatore.
Gjatë qëndrimit në kujdesin intensiv, është esencial monitorimi i vazhdueshëm i parametrave kardiakë, respiratorë, neurologjikë, hematologjikë, metabolikë dhe përcjellja e drenazhit dhe plagëve kirurgjike. Kjo periudhë është kritike dhe kërkon menaxhim të vazhdueshëm të secilit parametër duke mos toleruar devijimin e tyre. Sapo të konfirmohen stabiliteti i nevojshëm, bëhet edhe shkëputja nga frymëmarrja artificiale e nga barërat/pajisjet mbështetëse dhe pacienti përgatitet për kalim në pavijon/repart. Qëndrimi në kujdesin e tillë intensiv zgjat nga 12 orë deri në disa ditë , dhe kjo varësisht nga gjendja dhe komplikimet pas operimit. Pas shkëputjes nga aparati i frymëmarrjes, barnave mbështetëse dhe krijimit të stabilitetit hemodinamik, pacienti është i gatshëm për mobilizim (ulje, ecje të vogla, vetëushqim) deri në krijimin e një rikondicioni kardiak. Rikondicioni kardiak optimal është ai kur pacienti fillon më pas të lëviz lirshëm në pavijon/repart pa pasur çrregullime hemodinamike që pengojnë aktivitetet bazike ditore.
Në rastet më të rënda, e të komplikuara me sëmundje të tjera si insulti cerebrovaskular, pamjaftueshmëria e veshkave, malperfuzioni i organeve të barkut, pacienti mund të ketë nevojë, për trajtim specifik si Intervenimi vaskular, neurokirurgjik, hemodializa, intervenimi kirurgjik abdominal etj. Andaj edhe rehabilitimi i të tillëve është afatgjatë e madje shpesh herë kërkon vazhdimin e trajtimit në qendra rehabilituese speciale, veçanërisht kërkohet mbikëqyrja nga një specialist i rehabilitimit kardiak.
Zakonisht qëndrimi në spital pas kirurgjisë së aortës është njëjavor, në raste të caktuara si psh., në komplikimet dhe diseksioni i aortës edhe më shumë (disa javë), përjashtimisht kirurgjisë minimal invasive, ku qëndrimi mund të jetë më pak se një javë.
Sa është mbijetesa në kirurgjinë e aortës?
Ka disa faktorë të cilët e determinojnë mbijetesën në kirurgjinë e tillë. Fillimisht mbijetesa varet nga lloji i kirurgjisë se a është ajo e planifikuar apo emergjente. Në rastet emergjente mbijetesa është më e vogël. Pastaj faktorët determinues për mbijetesë janë edhe kohëzgjatja e intervenimit, dëmtimet akute apo kronike të veshkave, dëmtimet akute cerebrovaskulare, mosha etj. Nga kirurgjia e aneurizmave të aortës torakale, mbijetesa intra-hospitalore sillet rreth 98%, kurse pas një viti ajo është 80-95%. Nga kirurgjia e diseksionit të aortës, mbijetesa intra-hospitalore është rreth 75% (në disa qendra të specializuara, mbijetesa është madje edhe 95%). Mbijetesa njëvjeçare e të lëshuarave gjallë nga spitali është rreth 96% kurse 10 vjeçare, 71-89%.
Si është përcjellja kohore klinike dhe imazherike pas inervenimeve në aortë?
Përcjellja (follow Up) e parë bëhet pas një muaji, që të detektohen komplikimet e hershme post intervente. Më pas bëhet pas 6 muajsh, pas 12 muajsh e më pas në periudha vjetore. Përcjellja klinike është mëse e nevojshme sidomos në vitin e parë post intervent. Shtypja e gjakut duhet monitoruar strikt sepse shumica kanë shtypje të lartë rezistente. Nganjëherë mund të paraqiten simptoma të dhembjes së gjymtyrëve të poshtme apo edhe barkut që janë shenja të malperfuzionit dhe kërkon hulumtim të detajuar imazherik.
Përcjellja imazherike post kirurgjike rekomandohet në vitin e parë e pastaj pas çdo 5 vite tek pacientët pa sëmundje mbetëse (reziduale) aortale, kurse tek ata me sëmundje reziduale aortale, përcjellja rekomandohet të bëhet çdo vit.
Metodë imazherike favorizohet Angio MRI, përveç nëse kontraindikohet.
Këshilla për pacientë
▪ Asnjëherë mos neglizho dhimbjet e gjoksit! Koha në sëmundjet e aortës është e artë!
▪ Gjithmonë mbaj nën kontroll shtypjen e gjakut! Shtypja e lartë, vret!
▪ Në rast të historisë familjare për sëmundje të aortës, bëj screening (ekzaminime parandaluese/përcjellëse) të aortës tuaj!
▪ Respekto me përpikëri rekomandimet e mjekut tuaj lidhur me kujdesin shëndetësor pas intervenimit kirurgjik të aortës!
▪ Kujdesu që ilaçet e përshkruara të merren rregullisht!
▪ Bëj përcjelljen e gjendjes tuaj shëndetësore, respektivisht përcjelljen e gjendjes së aortës pas kirurgjisë, gjithnjë sipas rekomandimeve të mjekut tuaj!
▪ Bëhu fizikisht më aktiv, andaj sporti dhe ushtrimet e tjera aerobike janë të rekomanduara! /Telegrafi/
































































