Çfarë duhet të dinë pacientët për imazherinë bashkëkohore 3D

Mr.sc.dr. Bujar Gjikolli
Radiolog specialist
bujargjikolli@yahoo.com
044-140-878
Janë krijuar rekonstruimet në shumë rrafshe dhe imazhet që japin përshtypjen e 3 dimenzioneve – 3D. Pacientët duhen vetëdijesuar që të interesohen për vet procedurën diagnostike të cilës do ti nënshtrohen. Ata duhet të dinë se cilat janë përfitimet dhe rreziqet dhe se çfarë aparature përdor institucioni në të cilin do të kryeni procedurën.
Duhet interesuar për karakteristikat e aparatit (tomografia e kompjuterizuar vlerësohet me numrin e shtresave të detektorëve - 6 shtresa e më shumë në mjekësinë bashkëkohore) derisa rezonanca magnetike preferohet prej minimum 1.5 Tesla.
3D imazheria arrihet vetëm me aparate të reja të shekullit 21 derisa me ato të vjetra kualiteti i fituar është shumë i mangët dhe larg nga ai diagnostik.
Me 3D mundësohet vizualizimi i kockave dhe e kurrizit me tomografi të kompjuterizuar në tre rrafshe dhe me vizualizim të sipërfaqes së kockës e cila mund të analizohet në të gjashtë anët e saja.
Enët e gjakut, arteriet dhe venat e çdo pjese të trupit mund të vlerësohen në tërë gjatësinë e tyre si dhe nga të katër anët.
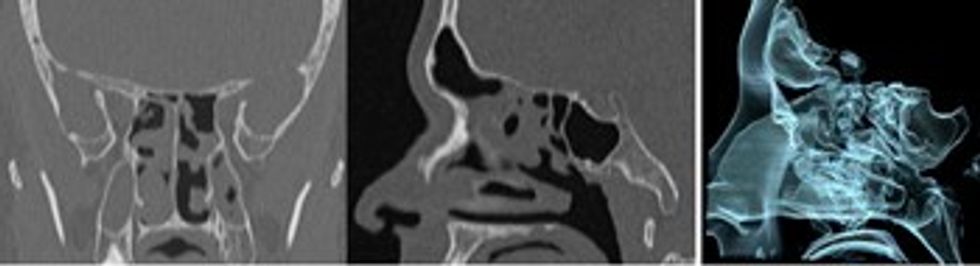
Hapësirat paranazale – sinuset mund të analizohen përmes rekonstruimeve në të tre rrafshet bile ndaras të paraqitet aerizimi i hapësirave paranazale.
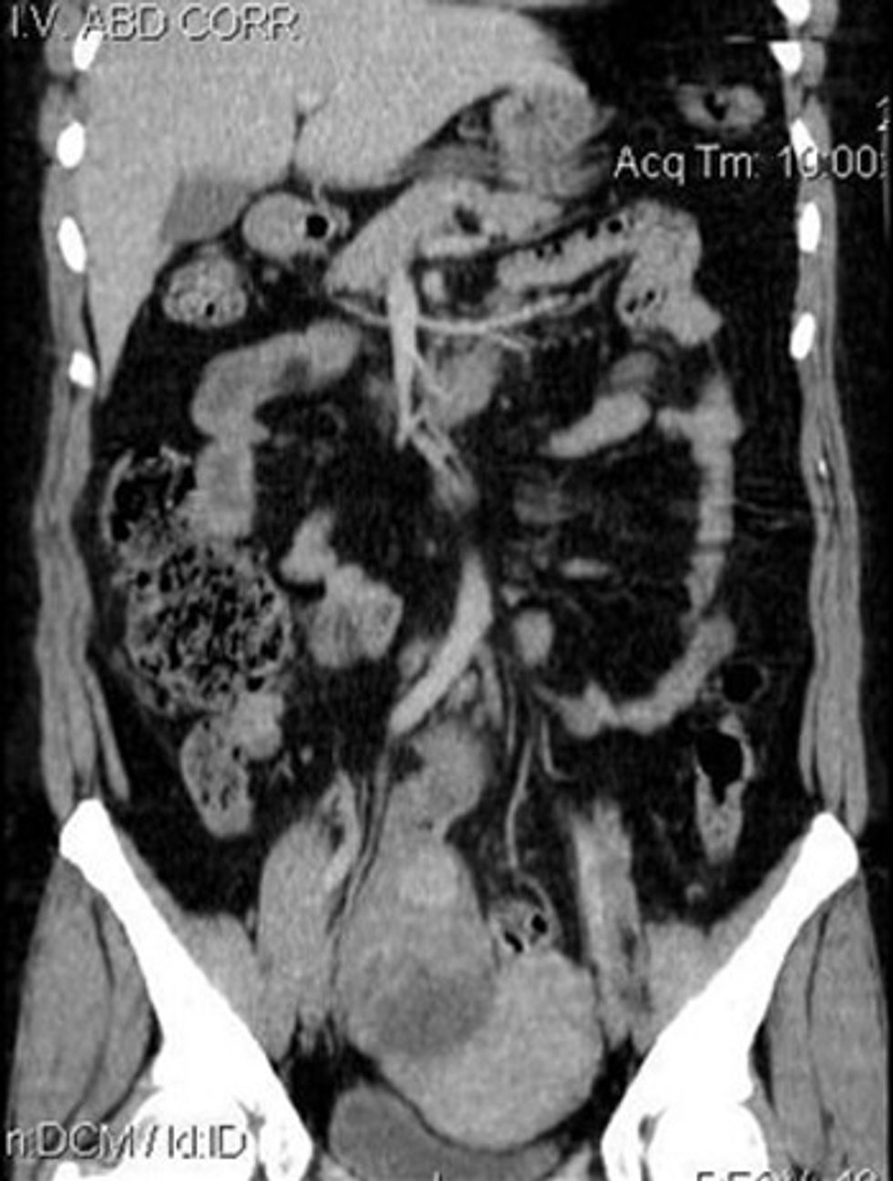
Organet abdominale mund të paraqiten përmes rekonstruimeve në të tre rrafshet dhe analizohen ndryshimet e mundshme në formën dhe sipërfaqen e tyre.
Rrugët biliare dhe fshika e tëmthit të punuara me rezonancë magnetike me procedurën MRCP mund të vizualizohen në 3D bile edhe pa aplikim të mjetit të kontrastit intravenoz.
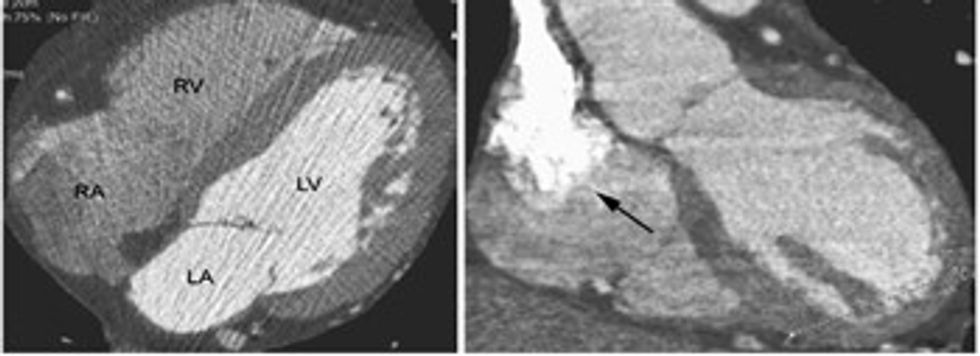
Zemra vizualizohet si e ndarë pa bërë asnjë formë të invazionit në trup dhe mund të vlerësohen ndryshimet patologjike të mundshme.
Edhe diagnostika me ultratingull është zhvilluar në fushën e rekonstruimeve në shumë rrafshe, dhe fëmija akoma gjatë shtatzënisë me ultratingull mund të shikohet me 3D dhe 4D për tu analizuar gjendja e tij shëndetësore.
Kulminacionin e të zbulimeve shkencore në mjekësinë diagnostiko e ka arritur diagnostika me rezonancë magnetike të avancuar e cila është në gjendje të bëjë edhe përcaktimin funksional të pjesëve të trurit se si ato funksionojnë.
Për fat të pacientëve kosovarë, në vendin tonë ekzistojnë disa qendra që kanë aparaturën e duhur për realizimin e shumica së procedurave të lartshënuara.
Radiologjia bashkëkohore mundëson ta shohësh zemrën tënde pa u operuar dhe pa e ndalur punën e saj
Radiologjia bashkëkohore ka arritur të mundësojë që në punën tonë të përditshme t’i shohim organet tona pa bërë prerjen ose përdorur cilindo formë të invazionit në trupin tonë.
Kjo është bërë e mundur vetëm pasi që janë shpikur aparate të shpejta me së paku 64 shtresa të detektorëve, të cilat mund të arrijnë qartësi të mjaftueshme të imazhit të zemrës e cila është në lëvizje gjatë tërë kohës së incizimit. Kjo arrihet gjatë incizimit me aplikimin e kontrastit intravenoz në venën e bërrylit.
Me këtë, radiologjia bashkëkohore me koronarografi të realizuar me tomografi të kompjuterizuar mundëson vizalizimin e qartë të zemrës në tërësi dhe në raport me organet përreth.
Mundëson vizualizimin e hapësirave të zemrës (barkusheve dhe veshëzave) si dhe e arterieve koronare që e furnizojnë atë me gjak.
Me koronarografi me tomografi të kompjuterizuar mund ta shohim zemrën në tërësi nga të gjitha anët, ku shohim muret e saj të formuara nga muskuli i zemrës dhe arteriet koronare në sipërfaqe.
Mund t’i analizojmë ndaras arteriet koronare dhe ta vlerësojmë patologjinë e tyre të mundshme.
Poashtu në masë të caktuar me koronarografi me tomografi të kompjuterizuar mund të analizohet edhe kalueshmëria e stenteve të vendosuara në arteriet koronare.
Me koronarografi me tomografi të kompjuterizuar mund të bëjmë vlerësimin e rrezikshmërisë nga sëmundjet aterosklerotike duke vlerësuar vlerat e kalciumit të deponuar në enët e gjakut (Calcium scoring) ose ngushtimet e vet arterieve koronare (stenozave).
Me programe të posaçme softverike mund të bëhet rekonstruimi edhe i valvulës së aortës e cila del nga zemra.
Me koronarografi me tomografi të kompjuterizuar pacienti informohet për gjendjen e enëve të tij dhe mund të planifikoj procedurat e mëtejme të trajtimit të tij konzervativ, minimal invaziv dhe ato operative.
Koronarografia me tomografi të kompjuterizuar tani është e mundur edhe në Kosovë, dhe për këtë procedurë pacientët kosovarë nuk kanë nevojë të për diagnostikim jashtë vendit.
/Telegrafi/



































































